- 名前
- けーでぃー
- 性別
- ♂
- 年齢
- 51歳
- 住所
- 奈良
- 自己紹介
- 「元」がつきますが一応プロの小説家。現在、 カムバック目指して修行中です。 そんな私...
JavaScriptを有効にすると、デジカフェをより快適にご利用できます。
ブラウザの設定でJavaScriptを有効にしてからご利用ください。
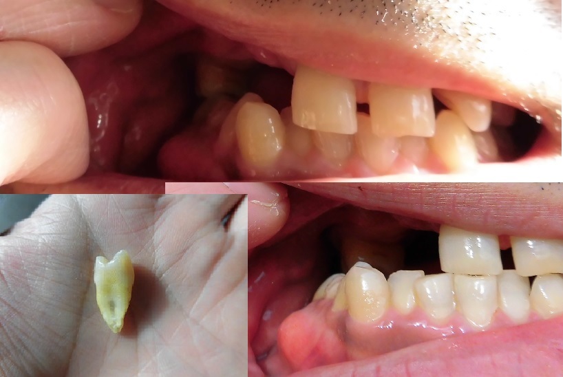
やっと、ぽろっと。
2018年12月22日 21:16
今回は。
2018/6/16の、「歯がががが~!」の続きの内容となっております。
しかし、半年以上も経っておりますし、また「大事なこと」でも
ありますので。「歯がが」と重複してる内容が多いこと、ご容赦ください。
さて。
「歯がが」と今回との画像を見比べて頂ければ、何があったかは
一目瞭然ですが。タイトル通り、ぽろっと抜けたんです。歯が。
齢、44にして。
と言いますのも。
私は、生まれつき永久歯の本数が少ないのです。ゆえに、
1 一生乳歯のまま
2 乳歯が抜けはするが、抜けっぱなしで永久歯が生えてこない
3 乳歯が抜けたら、その後に永久歯が生えてきて抜けた穴を埋める
普通の人は、一本残らず全ての乳歯が3のパターンです。
ですが、私には1と2も混在している……と思ってたんですが、
どうやら違うらしく。
歯科で、しかと確認したわけではありませんが(笑って下さい)(わはは)、
どうやら1はなくて、永久歯が足りない分は、全て2っぽいんです。
おかげで私の歯並びは、今、欠けまくって穴だらけ。
更に。
もともと、永久歯は乳歯よりも本数が多い(約1.5倍)そうで。
その永久歯が足りてないってことは、単に「乳歯の抜けた跡が空いている」
では済みません。それ以上の空間が、私の歯茎には存在するわけです。
しーかーも。
乳歯は乳歯として限界が来てグラグラ抜けかかる、
しかしその下にあるはずの永久歯による「押し」がない、
という特殊な状態のせいか、ですね。
凄まじく!
「抜けかかってグラグラ」の期間が長いんです! 今回は特に酷かった!
その間ずっと、食べ物を噛むのに難儀しました!
ヘタに噛むとグラグラ歯に「がりっ」ときて、痛いのなんのっ!
あと。
筋トレで力をこめる時に、「ふんぐぎっ!」と噛み締めることができないのも、
ツラかったですね~。重要なんですよ、噛むという動作は。
「咬筋力」は全身の筋肉、全てのチカラ、発揮されるパワーに直結してるってこと、
知識としては知ってましたが、今回は身をもって実感できました。
もう一生忘れません。はい。
ほいで。
なんつっても歯です。口の中です。グラグラ期間が長くて辛いからって、
いっそのこと……と、力任せに引き抜いたりなんかしたら。
痛いのはもちろん、出血も凄いことになると解ってましたから。
故に、それはできず。
自然に任せるしかなく。
しかし。
私の歯は、上記通り、
そもそも不自然にできているという悲劇……あぅあぅ。
(早く抜けろ~、と舌でペチペチ叩いたりはしてましたが。それも痛かったです)
そんな。
辛く長い、歯ぁグラグラ期間が、よ~やく終わったんです。
先日、ぽろっと落ちました。ホッッッッとしましたよ、ほんと。
ほんで今。
こんな口ですけど、前歯と奥歯(左右とも)はちゃんとありますので、
ものを食べるのは不自由なくできてます。前歯の中央が欠けてたら、
リンゴ齧るのとか大変でしょうけど、そうはなってませんからね。
そんなこんなで。
私は、虫歯で抜いたとか、転んでぶつけて折ったとか、
そんなの一度もしてないのに、こんな歯です。
本来なら。
私の歯は、全部綺麗に揃ってるはずなのに。
理不尽な、100%生まれつきの事情で、こんな歯です。
ですからっ。
健康な歯を持っている人は、それを当然のこととは思わずに、ですね。
幸せな、幸運なことであると、しっかり自覚して、ですね。
せっかく持って生まれた綺麗な歯、大切になさいますように。
くれぐれも。
☆☆先っぽだけ、ちょっとだけ☆☆
……エロい話ではありませんよ?
上下の歯をガチッと合わせたまま、口を横に広げる、
「イーッだ」の状態。
今の私は、その状態のままで右側(画像に向かって左側)の隙間から、
にゅるっと舌を出すことができます。先っぽ、ちょっとだけですが。
これ、なかなかブキミですぞ~。
ウケ狙いの一発芸として、使えそう。
などと。
くじけず、前向きに考える私です。
そして。
出会い系サイトという場で、しかもクリスマス時期に、
こんな画像を出してこんな話をしてる私です。わはは。








このデジログへのコメント
やっと抜けて良かった…でいいのでしょうか?
永久歯が生えてこないのだとしたら、なるべく長く乳歯に頑張ってもらわないと…ですしね。
歯の治療は、時間をお金もかかりますよね。
自分の歯って大事ですよね
私も最近、事故で歯医者にかかってから
定期的に通うことになりました
歯茎の状態までチェックしてくれます(^o^)v
バランスを補うため噛み合わせの負担が残存歯に掛かると思われます。義歯を入れるかブリッジか。筋トレ時はマウスピースとかの方法も。パッと診た感じ、、下顎の骨隆起もかなり大きいですね。食い縛りかな。。?
> はぎんちょさん
事故で、とは痛そうな。お大事に。
確か、新選組の永倉新八が虫歯を原因とする病気(とはちょっと違うようですが)で
亡くなったとか何とか。たかが歯、されど歯。侮れません。
> 木綿子さん
うう、そうじゃないかなあとも思ってたんですが、やはりですか。
でもなんかこう、そういうのに手を出すのは悔しくて……とりあえず、長年これで
やってきてますから、も少し頑張ってみます。
> eriさん
そーなんです。だから虫歯を警戒して、真面目に歯磨きしてるのに、この有様。
まあ、だからこそ「この程度で済んでいる」とも言えますけどね。
これで虫歯による欠損まで加わったら……
コメントを書く